Okt. 2021: Aus dem Gebiet der Fußchirurgie

Oktober 2021: Aus dem Gebiet der Fußchirurgie

Diagnose: Arthrose der Fußwurzelgelenke NC 1 und NC 2

Therapie: Versteifung NC 1 und NC 2

Vorwurf: Fehlplatzierung der Schraube mit nachfolgendem Schraubenbruch

 

Sachverhalt:

Wegen einer konservativ nicht beherrschbaren Arthrose der linken Fußwurzel im Bereich der NC Gelenke 1 und 2 wurde die Indikation zur operativen Versteifung gestellt.

 

1.-Prä operatives MRT des linken Fußes vom Oktober 2016

Die indizierte Operation wurde im Februar 2017 durchgeführt. Die Stabilisierung der Arthrodese erfolgte mit insgesamt 3 Schrauben und Anlagerung vom Knochenersatzmaterial.

 

2.-Postoperatives Bild Februar 2017

Im Rahmen einer Verlaufskontrolle zeigte sich ein Schraubenbruch als Zeichen einer fehlenden Durchbauung der Arthrodese.

 

3.- April 2017: Schraubenbruch

Es wurde die Indikation zur Revisionsoperation mit Rearthrodese gestellt. Diese wurde im Juni 2017 durchgeführt.

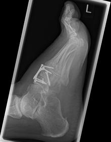
Die Stabilisierung erfolgte nunmehr mittels Platte und einer externen Zugschraube. Es wurde wiederum Knochenersatzmaterial angelagert.

 

4.- 06/2017 nach Rearthrodese

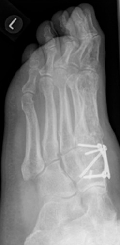
Bei einer Verlaufskontrolle im Juli 2017 ergab sich bei der Röntgenuntersuchung eine Fehllage einer Plattenschraube, die damit das TMT 2 überbrückte.

 

5.- 07/2017 Schraubenfehllage : Schraube erreicht Basis MT2 und überbrückt TMT 2

Im CT vom September 2017 ergab sich noch kein Durchbau der Arthrodesen, aber ein Bruch der das TMT 2 überbrückenden Schraube.

 

6.- 09/2017 Schraubenbruch

Zusammenfassung des externen Gutachtens:

  • die Operation vom Februar 2017 sei indiziert gewesen und sach – und fachgerecht durchgeführt worden. Die Implantatdimension sei befundgerecht gewesen.

  • die Revisionsoperation sei angesichts der ausgebliebenen Knochenheilung angezeigt gewesen

  • bei der Revisionsoperation sei eine Plattenschraube fehlerhaft eingebracht worden. Dieser Befund sei von dem Operateur fehlerhaft nicht erkannt worden und die gebotene Neuplatzierung sei nicht durchgeführt worden.

  • eine ausbleibende knöcherne Durchbauung bei Versteifungsoperationen sei auch bei sorgfältigster Operationstechnik nicht immer vermeidbar; die Fehlplatzierung einer Schraube stehe in keinem ursächlichen Zusammenhang mit der Ausbildung einer verzögerten Knochenbruchheilung.

  • die postoperativen Röntgenbilder nach der Revisionsoperation hätten zu einer Revision der Schraubenlage führen müssen, da ein Implantatversagen durch die Fehlplatzierung der distal lateralen vorhersehbar war.

Bewertung der Haftungsfrage

Bei der Revisionsoperation vom Juni 2017 war es zu einer Fehlpositionierung einer Plattenschraube gekommen; das Implantatversagen war allein aus biomechanischen Gründen vorhersehbar. Ein Schraubenwechsel wurde fehlerhaft nicht durchgeführt.

Eine ausbleibende Knochenheilung ist bei Versteifungsoperationen auch bei sorgfältigstem Vorgehen nicht immer vermeidbar. Die Fehlpositionierung der Schraube war nicht ursächlich für die Entstehung der Pseudarthrose.

Allein fehlerbedingt entstand eine Arthrose TMT2, die eine weitere Operation nach sich ziehen wird.

Gesundheitsschaden

Durch die Fehlplatzierung der Plattenschraube ist es zu einem erwarteten Schraubenbruch in Höhe des 2.Mittelfußgelenkes gekommen. Die abgebrochene Schraube überragt die Gelenkfläche des 2.Mittelfußstrahls und führt dort zu einer mechanischen Irritation mit zwingend nachfolgender Verschleißerkrankung, die aus dem Vergleich der CT Aufnahmen von 19.04.2018 und September 2017 bereits deutlich zu erkennen ist.

Die Entwicklung des Verschleißes im 2. Mittelfußgelenk ist allein fehlerbedingt und wird bei entsprechenden Symptomen eine weitere Operation nach sich ziehen müssen.

Allein fehlerbedingt ist bei einer erneuten Operation mit einer Heilungsdauer von 8-12 Wochen zu rechnen.

Eine außergerichtliche Einigung wurde empfohlen.

Zurück